Gjesti është përfshirë në një debat të ashpër në ditën e sotme me Joz Markun. Banori nga Kosova e ka akuzuar se po kopjon lojën…
Web Lajme
Gjesti është përfshirë në një debat të ashpër në ditën e sotme me Joz Markun. Banori nga Kosova e ka akuzuar se po kopjon lojën…
Mbrëmjen e kaluar, Jozi dhe Loredana morën një dhuratë të veçantë nga Vëllai i Madh – një suitë ekskluzive brenda shtëpisë, ku dyshja kaloi natën…
Valbona dhe Laerti janë në nominim kokë më kokë dhe njëri prej tyre pritet që gjatë prime-t të së martës të lërë përfundimisht shtëpinë e…
Mëngjesi i kësaj të hëne ka nisur me reshje shiu dhe kështu do të vijojë përgjatë gjithë javës. Meteorologia Tanja Porja, tregoi se moti i…
Një ngjarje tragjike ka tronditur Vushtrrinë, ku një 19-vjeçar, Ardit Zymeri, humbi jetën pas një sulmi me armë zjarri mbrëmjen e së dielës. Autori i…
Mami i Loredanës, Shpëtime Brati, ishte mëngjesin e sotëm në një lidhje “Skype” me emisionin “Wake Up”, ku foli për takimin e saj me të…
Kohët e fundit ka pasur një numër më të madh se normalja e fluturimeve të detyruara të kthehen në aeroportin nga i cili janë nisur…
Këngëtarja e njohur Eneda Tarifa i ka bërë një urim special partnerit të saj, Gert Laskut, me rastin e ditëlindjes së tij. Teksa ka postuar…
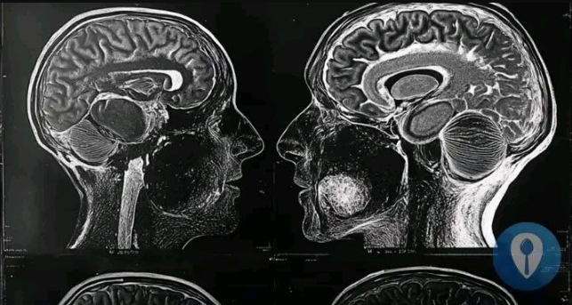
Një studim i ri tregon se agjërimi shkakton ndryshime në zonat e trurit që rregullojnë oreksin dhe varësinë. Në të njëjtën kohë, testet e mostrave…
Një aksident tragjik ka ndodhur në Gessopalena të Italisë qendrore ku një shqiptar punonjës bujqësie, humbi jetën në një aksident të rëndë me traktor. Viktima…
Mëngjesi i kësaj të hëne ka nisur me reshje shiu dhe kështu do të vijojë përgjatë gjithë javës. Meteorologia Tanja Porja, tregoi se moti i…
Është ndarë sot nga jeta në moshën 57-vjeçare Saimir Demi, gazetari i njohur sportiv me një karrierë 30-vjeçare. Prej kohësh pjesë e RTSH-së, Demi ka…